
خلع الورك الرضي هو إحدى الإصابات الخطيرة التي تُشاهد غالبًا بعد الحوادث عالية الطاقة، ولا سيما حوادث السير. يُعد هذا النوع من الخلع حالة إسعافية Orthopaedic Emergency تتطلّب التدخّل الفوري للحدّ من خطر حدوث النخر العظمي (Osteonecrosis) ومضاعفات أخرى قد تؤثر بشكل دائم على وظيفة المفصل.
في هذا المقال، نستعرض الحالة السريرية، آلية الإصابة، علامات الفحص السريري، وسائل التشخيص، العلاج الإسعافي واللاحق، إضافةً إلى أبرز المضاعفات.
يصل مريض يبلغ من العمر 33 عامًا إلى قسم الإسعاف بعد تعرّضه لحادث سير عالي السرعة، حيث كان راكبًا غير مثبت بحزام الأمان وتعرّضت المركبة لاصطدام خلفي قوي. أظهر الفحص السريري:

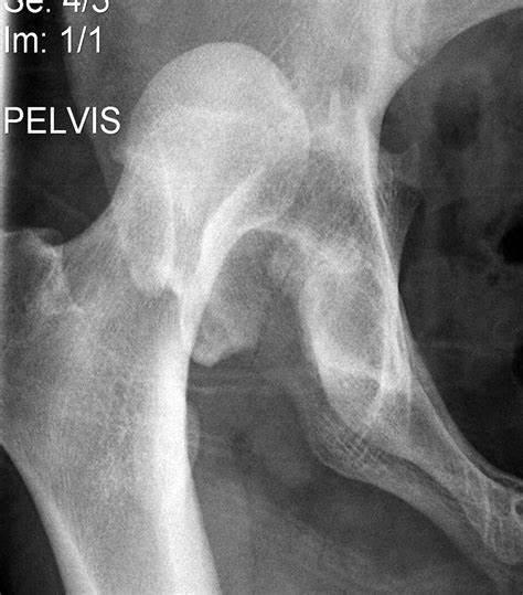
الصورة الشعاعية الأمامية للحوض (AP pelvis) أكدت وجود خلع خلفي لمفصل الورك الأيمن.
الخلع الخلفي لمفصل الورك (Posterior Hip Dislocation)
وهو النوع الأكثر شيوعًا (>90%) من خلع الورك في الإصابات الرضية.
تحدث معظم حالات الخلع الخلفي نتيجة:
كما يحدث عند اندفاع الركبة بقوة إلى لوحة القيادة في حوادث السيارات، مما يدفع رأس الفخذ خارج تجويف الحُق إلى الخلف.
في جميع هذه الحالات يكون الطرف عادةً في وضعية:
Flexion + Adduction + Internal Rotation
بعد استبعاد وجود كسر في عنق الفخذ على الصورة الشعاعية، يجب إجراء ردّ إسعافي فوري (Emergency Reduction) للمفصل، إما في الإسعاف تحت التخدير الواعي أو في غرفة العمليات تحت التخدير العام إذا لم يكن الاسترخاء العضلي كافيًا.
التأخر في الرد لأكثر من 6–12 ساعة يزيد احتمال حدوث النخر العظمي بشكل كبير.
يتضمن تقييم:
العصب الوركي معرض للإصابة بسبب قربه من المفصل.
الصورة الأمامية للحوض كافية للتشخيص.
تظهر:
يجب إجراؤه بعد الرد لتقييم:

يُعتبر العلاج الأولي القياسي.
بعد النجاح، يجب إعادة تصوير الحوض للتأكد من عودة المفصل إلى مكانه.
يجب على المريض اتباع احتياطات الخلع الخلفي:
يُنصح باستخدام:
لا توجد بروتوكولات ثابتة، ويختلف القرار بحسب:
خلع الورك الرضي يحمل خطرًا كبيرًا لعدة مضاعفات:
أخطر مضاعفات الخلع
يزداد احتمال حدوثه عند تأخر الرد > 6–12 ساعة.
وخاصة:
إصابات الركبة في نفس الجهة (Ipsilateral Knee Injuries).
إجراء CT للورك والحوض لتقييم جودة الرد ووجود شظايا أو كسور مرافقة.
خلع الورك الرضي حالة طبية طارئة تتطلب استجابة سريعة، تقييمًا دقيقًا، وردًا مبكرًا لتقليل خطر المضاعفات الخطيرة. تعتمد النتيجة النهائية بشكل كبير على:
إن التعرف السريع على وضعية الطرف، وإجراء الصور المناسبة، والرد الفوري كلها خطوات محورية لإنقاذ المفصل والحفاظ على وظيفته.
لاتفوت أي معلومة أو تقرير طبي مميز