كسور الجوف الحقي: التشخيص والعلاج وفق أحدث المفاهيم الطبية
10 ديسمبر، 2025
وقت القراءة:1 د
تُعدّ كسور الجوف الحقي (Acetabular Fractures) من الإصابات الخطيرة والمعقدة التي تصيب مفصل الورك، وغالباً ما تنتج عن رضوض عالية الطاقة مثل حوادث السير أو السقوط من ارتفاع. ويكتسب هذا النوع من الكسور أهمية خاصة نظراً لارتباطه باستقرار مفصل الورك ووظيفته، مما يجعل التشخيص المبكر والتدبير المناسب أمرين بالغَي الأهمية لتجنب المضاعفات طويلة الأمد.
يقع الحُقّ على الجزء السفلي الوحشي من الحوض، ويتكون من التقاء ثلاث عظام هي: الحرقفة، الإسكي، والعانة. تشريحياً، يتألف الحُقّ من عامودين رئيسيين:
العمود الأمامي: يمتد من الشوكات الحرقفية الأمامية حتى فروع العانة.
العمود الخلفي: يمتد من الثلمة الوركية إلى عظم الإسكي.
يشكل العامودان معاً هيكلاً يشبه حرف Y المقلوب، وتشكّل هذه البنية أساس تصنيف ونمط إصابات الحُقّ.
الأسباب وآلية الإصابة
عادةً ما تحدث كسور الحُقّ نتيجة:
حوادث المرور عالية السرعة
السقوط من ارتفاع
إصابات الرضوض الشديدة في سياق الحوادث المتعددة
وفي كبار السن أو أولئك الذين يعانون من هشاشة العظام، قد تحدث الإصابة حتى بعد رضوض منخفضة الطاقة.
الميزات السريرية
يحضر المريض عادةً بـ:
ألم شديد في الورك أو الحوض
تورم في المنطقة المصابة
عدم القدرة على تحميل الوزن أو المشي
نظرًا لخطورة هذه الإصابات، فإن الكسور قد تترافق مع:
خلع مفصل الورك
كسور عنق الفخذ
إصابات جلدية مثل آفة موريل-لافاليه (Morel-Lavallée)
أذية عصبية أو وعائية (أقل شيوعًا)
يُعدّ التقييم العصبي الوعائي للطرفين خطوة أساسية يجب توثيقها بدقة.
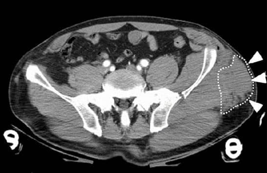
آفة موريل-لافاليه
هي إصابة انفصال داخلية يحدث فيها انفصال الجلد والأنسجة تحت الجلد عن اللفافة العميقة، ما يؤدي لتجمع سائل يمكن أن يصبح مزمنًا أو يلتئم تلقائيًا. تشاهد غالبًا في إصابات الرضوض عالية الطاقة حول الحوض والفخذ.
الاستقصاءات والتشخيص
يجب تقييم المصاب باتباع مبادئ ATLS، خاصة في سياق الرضوض المتعددة.
التصوير:
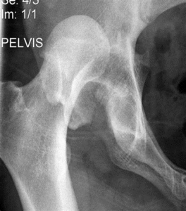
الأشعة السينية (AP، ومناظير Judet) قد تكون الخطوة الأولى.
إلا أن التصوير المقطعي CT هو المعيار الذهبي للتشخيص، إذ يحدد نمط الكسر وامتداده بدقة ويُستخدم لتخطيط العلاج الجراحي.
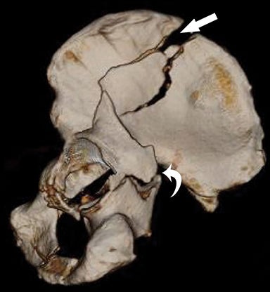
التصنيف
يعتمد التصنيف الأكثر شيوعًا وهو Judet & Letournel على تقسيم الكسور إلى:
1. كسور أولية (Elementary):
الجدار الخلفي
العمود الخلفي
الجدار الأمامي
العمود الأمامي
الكسر المستعرض
2. كسور مرافقة (Associated):
الجدار الخلفي + العمود الخلفي
المستعرض + الجدار الخلفي
كسر نمط T
العمود الأمامي + نصف المستعرض الخلفي
كسر كلا العمودين
التدبير العلاجي
التدبير الأولي
يبدأ وفق بروتوكول ATLS لتحديد الإصابات المهددة للحياة. وبخلاف كسور حلقة الحوض، فإن النزف الكبير أقل شيوعًا ولا يُستخدم مثبت الحوض عادةً إلا عند وجود كسر حوضي مرافق.
أي خلع للمفصل يجب رده بشكل عاجل لتجنب أذية غضروفية إضافية.
العلاج المحافظ
مناسب في الكسور:
غير المنزاحة
أو ذات الانزياح الطفيف
ويشمل:
تحميل وزن محمي لمدة 6–8 أسابيع
المتابعة الشعاعية المتكررة
التدبير الجراحي
مفضل في:
الكسور المنزاحة
إصابات المفصل غير المتطابقة
المرضى الشباب للحفاظ على وظيفة المفصل
قد يشمل التدبير الجراحي:
تثبيت الكسر عبر مداخل أمامية أو خلفية حسب نمط الكسر
عند كبار السن: التثبيت المبدئي يليها استبدال مفصل الورك الكلّي (THR) إذا دعت الحاجة، إما بمرحلة واحدة أو مرحلتين
المضاعفات المحتملة
الفُصال العظمي الثانوي
الخثار الوريدي العميق والانصمام الرئوي
أذية العصب الوركي أو السدادي
محدودية حركة مفصل الورك
تباين طول الطرفين
تزداد احتمالية المضاعفات عند تأخر التشخيص أو عدم استقرار الكسر.
النقاط الرئيسية
كسور الحُقّ غالبًا ما تنجم عن رضوض عالية الطاقة.
التصوير المقطعي CT هو أفضل وسيلة للتشخيص.
يمكن علاج الكسور البسيطة محافظًا.
الكسور المنزاحة عند المرضى الشباب غالبًا تتطلب جراحة لإعادة استقرار المفصل.
الكشف المبكر والتخطيط العلاجي الدقيق ضروريان لتجنب المضاعفات طويلة الأمد.